¡Hablamos Español! Ver página en español · (561) 295-3430
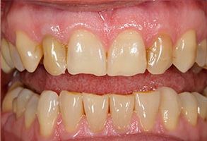
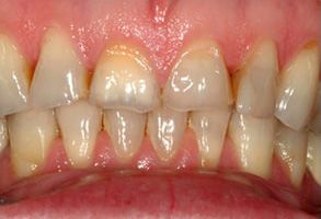
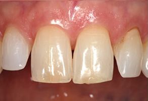
Before and after: full upper arch dental crown reconstruction. Before image shows misaligned, discolored teeth with significant wear; after image shows uniform, natural-looking ceramic crowns.
Case 1 Multiple Ceramic Crowns

Full upper arch reconstruction

A complete upper-arch transformation. The patient came in with significant wear, discoloration, and uneven tooth alignment from years of grinding and old restorations. Dr. Martinez designed and placed a full set of natural-looking ceramic crowns that restored both function and aesthetics — a smile that fits the patient's face.

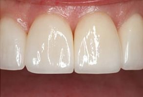
Before and after: single front tooth dental crown. Before image shows a darkened, discolored front tooth from old root canal treatment; after image shows a natural-looking ceramic crown matched to surrounding teeth.
Case 2 Single Ceramic Crown

Single front tooth ceramic crown

This patient had a darkened front tooth from old root canal treatment — visible every time they smiled. Dr. Martinez replaced the old crown with a custom-shaded ceramic crown matched precisely to the surrounding natural teeth. The result blends seamlessly.

Before and after: multi-tooth dental crown smile design. Before image shows worn and uneven upper teeth; after image shows coordinated ceramic crowns creating a balanced, natural smile.
Case 3 Coordinated Ceramic Crowns

Multi-tooth smile design

Worn and uneven upper teeth from years of clenching had left this patient self-conscious about smiling. A coordinated set of ceramic crowns restored even, balanced proportions while keeping the natural character of the smile — never the "fake" look of over-bright veneers.

About these photos: Every patient pictured has provided consent for their before-and-after photos to appear on this website. Results vary based on each patient's starting condition, dental health, and goals — your consultation will include a personalized treatment plan with photos and projected outcomes specific to your case.

More cases coming soon

We're a young practice, but we've already helped many patients in Jupiter and Palm Beach County love their smiles again. As more patients share their photos with us, we'll continue adding cases — veneers, whitening, smile makeovers, and implants.

📞 Call Book Online